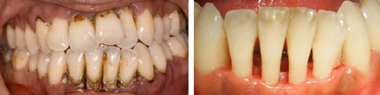
Periodontal

Eliminación de cálculo mediante raspado y alisado radicular.



Regeneración

Regeneración del hueso alrededor de los dientes.



Regeneración

Regeneración de hueso y encía previo al implante.



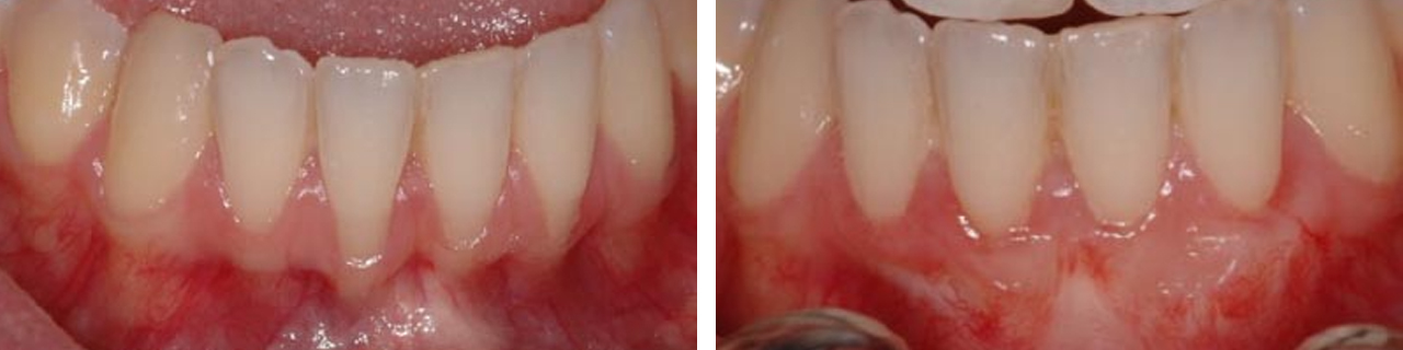
Cubrimiento

Cubrimiento de raíces expuestas.



Regeneración

Regeneración del soporte dental.



Frenillos

Eliminación de frenillos.



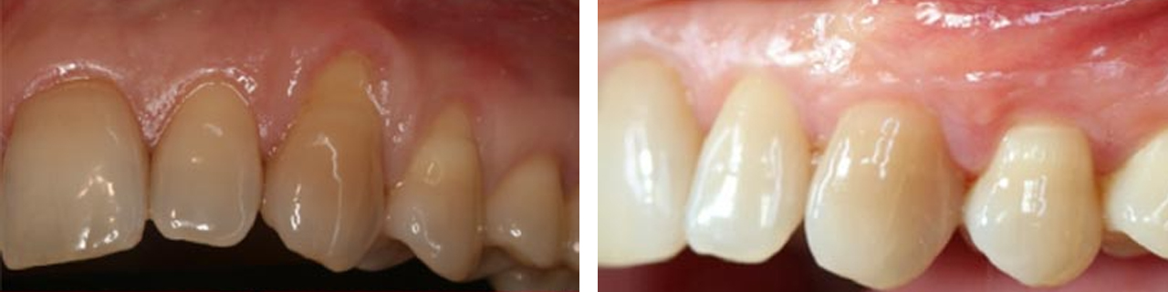
Raíces expuestas

Cubrimiento de raíces expuestas y aumento del grosor de la encía.



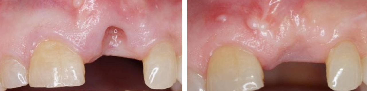
Implante

Cubrimiento gingival de implante